🔥Скидка на лучевую диагностику КТ и МРТ🔥

Рентген лопатки

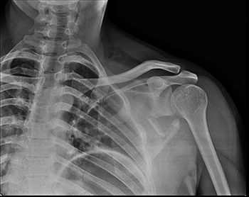
Лопатка — это кость плечевого пояса, которая имеет треугольную форму и соединяет кость плеча с ключицей. Она выполняет двигательную и защитную функцию и иногда может быть повреждена и стать источником серьёзных болевых ощущений и ограничения в движениях. Рентген лопатки — неинвазивный диагностический метод, направленный на визуализацию её костных структур посредством рентгеновских лучей. Он хорошо известен и широко распространён, не требует много времени на проведение и позволяет получить снимки сразу же после проведения процедуры. Другие преимущества заключаются в безболезненности и доступной стоимости.

Сделать рентгенографию лопаточной кости можно в многопрофильной клинике ЦЭЛТ. Обратившись к нам, Вы попадёте в руки опытных рентгенологов, в распоряжении которых имеются современные рентгеновские аппараты. Благодаря этому полученные снимки будут максимально чёткими и позволят правильно поставить диагноз.

Рентгенография лопатки

Показания

  • Подозрение на новообразования добро- или злокачественной природы

  • Патологические состояния воспалительного характера

  • Инфекционное поражение лопаточной кости

  • Болевой симптоматике

  • Вывихе сустава плеча

  • Подозрении на развитие кисты или бурсита

  • Раковых опухолях

  • Ограничения подвижности плечевого сустава

Противопоказания

  • Беременным женщинам

  • Женщинам в период грудного вскармливания

  • Пациентам, которые за последние 12 месяцев получили большую дозу облучения

  • Пациентам, которым не исполнилось 16 лет

  • Пациентам в тяжёлом состоянии

Что показывает рентген лопатки?

Данный метод диагностики не случайно называют высокоинформативным — он позволяет получить целый ряд важных для постановки диагноза данных:

  • Расположение лопаточной кости относительно смежных суставов и костей плеча;
  • Наличие/отсутствие изменений в размерах межсуставных щелей, позволяющие сделать выводы о состоянии хрящей и сухожилий;
  • Костные структуры и их особенности;
  • Трещины, вывихи и переломы;
  • Области некротического поражения.

При переломах лопатки важно правильно определить класс перелома, и рентген в данном случае является незаменимым. Важно понимать, что подобные травмы случаются крайне редко, поскольку лопаточная кость очень прочна. Соответственно, лечение в большинстве случаев оказывается длительным и очень непростым. Нередко даже после его окончания в течение некоторого времени пациент испытывает боли при движении верхними конечностями.

Врачи выполняющие данную процедуру

  • Бахчоян Вардан Рубенович
    ДиагностикаМагнитно-резонансная томографияКомпьютерная томографияРентгенология

    Бахчоян Вардан
    Рубенович

    Врач рентгенолог

  • Бутаков Денис Александрович
    ДиагностикаКомпьютерная томографияРентгенологияМагнитно-резонансная томография

    Бутаков Денис
    Александрович

    Рентгенолог

    ВзрослыеДетиПодростки

    Стаж 14 лет

    Записаться на прием
  • Кузина Виктория Валерьевна
    РентгенологияДиагностика

    Кузина Виктория
    Валерьевна

    Врач - рентгенолог

  • Шавлюк Игорь Сергеевич
    РентгенологияКомпьютерная томография

    Шавлюк Игорь
    Сергеевич

    Врач-рентгенолог

    ВзрослыеДетиПодростки

    Стаж 12 лет

    Записаться на прием

Отзывы пациентов

Все отзывы

Рентгенология

  • Все направления

  • Алгология

  • Аллергология

  • Анестезиология, реанимация и интенсивная терапия

  • Аритмология

  • Бариатрическая хирургия

  • Гастроэнтерология

  • Гематология

  • Гинекология

  • Дерматовенерология

  • Диагностика

  • Иглорефлексотерапия

  • Кардиология

  • Клиника боли

  • Компьютерная томография

  • Косметология

  • Маммология

  • Мануальная терапия

  • Неврология

  • Нейрохирургия

  • Онкология

  • Оториноларинология

  • Офтальмология

  • Проктология

  • Пульмонология

  • Рентгенология

  • Сердечно-сосудистая хирургия

  • Стоматология

  • Терапия

  • Травматология и ортопедия

  • Трансфузиология

  • Ультразвуковая диагностика (УЗИ)

  • Урология

  • Флебология

  • Хирургия

  • Эндокринология

  • Мы будем рады вашему отзыву!

    Мы будем рады вашему отзыву!

  • Владимир Галикович В.

    Выражаю глубокую признательность доктору Полтавскому Дмитрию Ильичу, который ассистировал профессору Зубикову Владимиру Сергеевичу при двух операциях эндопротезирования тазобедренных суставов у моей жены в 2024 и 2025гг.
    Обе операции прошли отлично, более подробно можно посмотреть в моем отзыве на странице профессора Зубикова.

    • Дата визита в клинику

      25 марта 2026

    • Врач

      Полтавский Дмитрий Ильич

    Подробнее
  • Владимир Галикович В.

    Профессор Зубиков Владимир Сергеевич при ассистировании врача Полтавского Дмитрия Ильича провел моей жене две операции эндопротезирования тазобедренного сустава (правого и левого). Первая операция в июне 2024г, вторая – в июне 2025г. На момент написания отзыва прошло немногим менее 2 лет и 1 года соответственно.
    Технически операции были сложными в связи с большой массой тела – порядка 120-130 кг, вплоть до отказа хирургов в других клиниках проводить операцию.
    Результаты как в краткосрочной перспективе, так и за все время после операций я могу оценить как отличные. Я врач, доктор медицинских наук, так что суждение квалифицированное.
    Организацию обследования, хирургического лечения и наблюдения за реабилитацией в клинике ЦЭЛТ также могу оценить как очень хорошую.
    Особо следует отметить такой важный момент как выбор протеза. Помимо предварительного плана обеспечена возможность уточнения характеристик модели протеза непосредственно в ходе операции – фирма-поставщик протезов присылает представителя, который присутствует при операции с набором разных протезов, хирург может выбрать модель по результатам ревизии сустава и бедренной кости в процессе операции.
    Послеоперационный период в 1ые сутки проходит в блоке интенсивной терапии, далее приблизительно неделя в 2х местной палате со специально приспособленными для ортопедических больных кроватями. Затем пациент выписывается с открытым больничным листом под наблюдение травматолога поликлиники.

    • Дата визита в клинику

      25 марта 2026

    • Врач

      Зубиков Владимир Сергеевич

    Подробнее
  • Евгения Андреевна

    Огромное спасибо Олегу Эммануиловичу за блестяще проведенную операцию по удалению желчного пузыря. Спасибо всей бригаде врачей за чуткое и внимательное отношение!

    • Дата визита в клинику

      17 марта 2026

    • Врач

      Луцевич Олег Эммануилович

    Подробнее
  • Елена Федоровна С.

    Хочу выразить огромную благодарность Шульге Наталии Валерьевне за профессионализм и чуткое отношение к пациентам. Более двадцати лет наблюдаюсь у этого врача. Ею были проведены мне три операции. Был поставлен точный диагноз и подобрано эффективное лечение. Всегда спокойно ответит на все вопросы, психологически поддержит. Это настоящий профессионал, которому можно доверять. Всем, кто дорожит своим здоровьем, рекомендую этого специалиста.

    • Дата визита в клинику

      08 марта 2026

    • Врач

      Шульга Наталья Валериевна

    Подробнее
  • Лампашина Е.Е.

    Пчелинцева Алевтина Николаевна провела успешное лечение двух нижних зубов и удаление двух верхних зубов моему сыну (11лет), также провела чистку зубной полости. Сын перенес спокойно, заживление после удаления прошло без осложнений.  К данному врачу ходим без опасений. Спасибо за проделанную работу, побольше таких специалистов. Хорошая клиника, вежливый персонал. Квалифицированные, внимательные врачи.

    • Дата визита в клинику

      04 марта 2026

    • Врач

      Пчелинцева Алевтина Николаевна

    Подробнее
  • С. Ярослав

    Глубоко благодарен медицинским работникам Клиники ЦЭЛТ. Их профессионализм и преданность своему делу обеспечили положительный итог лечения (25.02.26 - 27.02.26) моего сломанного голеностопа.

    Сейчас я чувствую себя очень хорошо и продолжаю стандартное восстановление после остеосинтеза мелких трубчатых костей (1й категории сложности).

    Особенно хочу отметить:
    Резщикову Екатерину Евгеньевну, координатора по лечению. Если бы не она, моя коммуникация с необходимыми врачами могла бы и не состоятся. Уехал бы в другую клинику.

    Полтавского Дмитрия Ильича, врача травматолога - ортопеда. Попадаю к специалисту второй раз. В марте 2024 г. сломал голеностоп на другой ноге. Он меня понял и простил))) Наверное.

    Попова Романа Ивановича, врача травматолога - ортопеда. Я до сих пор не понял как можно так выкручивть болты в кость)))
    Замечательные специалисты меня оперировали и лечили. ИМХО.

    ну и конечно святые анестезиолог и операционная медицинская сестра
    Мкртчен Елена Владимировна,
    Матвеева Юлия Александровна.

    Ни чего не почуствовал, но зато все слышал. Хотел ещё увидеть, но мне непозволили)))

    • Дата визита в клинику

      27 февраля 2026

    • Врач

      Попов Роман Иванович

    Подробнее
  • Татьяна Юрьевна

    Большое спасибо Автандилу Михайловичу за эмболизацию!

    • Дата визита в клинику

      08 февраля 2026

    • Врач

      Бабунашвили Автандил Михайлович

    Подробнее

Услуги по направлению Рентгенография

Администрация АО «ЦЭЛТ» регулярно обновляет размещенный на сайте клиники прейскурант. Однако, во избежание возможных недоразумений, просим вас уточнять стоимость услуг по телефону: +7 (495) 266 91 14.

Почему нам доверяют?

  • Более 30 лет активной работы

    Опыт позволяет нам находить решения даже в самых нестандартных случаях.

  • Более 100.000 сложнейших операций

    Наши врачи умеют работать там, где требуется высочайшая точность и внимание.

  • Научная деятельность

    Наши врачи ведут научную работу и внедряют новые методы лечения.

Запись на прием

Ваше имя и отчество*

Номер телефона*

Направление

Рентгенология

  • Алгология

  • Аллергология

  • Анестезиология, реанимация и интенсивная терапия

  • Аритмология

  • Бариатрическая хирургия

  • Гастроэнтерология

  • Гематология

  • Гепатология

  • Гинекология

  • Дерматовенерология

  • Диагностика

  • Иглорефлексотерапия

  • Иммунология

  • Инфузионная терапия

  • Кардиология

  • Клиника боли

  • Клинико-диагностическая лаборатория

  • Компьютерная томография

  • Косметология

  • Магнитно-резонансная томография

  • Маммология

  • Мануальная терапия

  • Массаж

  • Неврология

  • Нейрохирургия

  • Нефрология

  • Онкология

  • Оториноларинология

  • Офтальмология

  • Педиатрия

  • Пластическая хирургия

  • Проктология

  • Психиатрия

  • Психология

  • Пульмонология

  • Ревматология

  • Рентгенология

  • Сердечно-сосудистая хирургия

  • Сестринский уход

  • Стоматология

  • Сурдология

  • Терапия

  • Травматология и ортопедия

  • Трансфузиология

  • Ультразвуковая диагностика (УЗИ)

  • Урология

  • Физиотерапия

  • Флебология

  • Функциональная диагностика

  • Хирургия

  • Центр Интегративной медицины,медицинской реабилитации и рефлексотерапии

  • Эндокринная хирургия

  • Эндокринология

  • Эндоскопия

Предпочитаемая дата и время

с 09.00 до 10.00 с 10.00 до 11.00 с 11.00 до 12.00 с 12.00 до 14.00 с 14.00 до 18.00

Комментарий

Нажимая на кнопку “Отправить”, вы выражаете свое согласие с условиями обработки персональных данных

Запишитесь к интересующему вас специалисту

Выбрать специалиста

Круглосуточная справочная служба

Обратиться

Этот сайт использует файлы cookie для обеспечения корректной работы. Продолжая использовать сайт, вы соглашаетесь с положением.

Telegram
Позвонить
Записаться