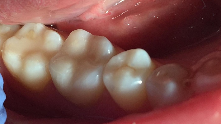
Пломба из стеклоиономерного цемента или эвикрола
Пломбы из стеклоиономерного цемента (в частности – “Evicrol”) призваны имитировать и восполнять родные ткани зуба, которые были утрачены в процессе его лечения или травматического повреждения. Они хорошо подходят для небольших полостей при среднем или поверхностном кариесе. Несмотря на высокие прочностные характеристики, они отличаются доступной ценой, а также способны выдерживать интенсивные нагрузки, создаваемые в процессе жевания. Наряду с неплохими эстетическими характеристиками это делает их идеальными для реставрации зубов жевательной группы.
Терапевты стоматологического отделения ЦЭЛТ широко применяют пломбы из стеклоиономерного композита для восстановления зубных тканей. Они используют материалы, которые хорошо зарекомендовали себя многолетним практическим применением. Наряду с соблюдением технологических процессов это позволяет получить красивые и функциональные реставрации с длительным сроком службы. Узнать стоимость пломб можно в прайс-листе, перейдя на вкладку «Услуги и цены». Несмотря на то, что мы регулярно его обновляем, рекомендуем уточнять цифры обратившись к операторам нашей информационной линии или на приёме у врача.
Показания к применению пломб «Эвикрол»:
- Пломбирование при лечении среднего, вторичного, пришеечного кариеса;
- Герметизация фиссур;
- Пломбирование зубных каналов;
- Установка ортодонтических/ортопедических конструкций.
Особенности и преимущества пломб из стеклоиономерного цемента
Отличительная особенность ортопедических конструкций из стеклоиономерного материала заключается в том, они твердеют за счёт химической реакции, которая запускается при смешивании порошка и жидкости. Последняя состоит из винной кислоты и дистиллированной воды, а первый включает в себя:
- Измельчённое стекло (диоксид кремния), которое обуславливает прозрачность, делает застывание не таким быстрым и продлевает срок службы реставрации;
- Фторид кальция, который необходим для профилактики развития вторичных кариозных процессов;
- Фосфат алюминия, который делает пломбу более прочной и невосприимчивой к воздействиям механического характера;
- Оксид алюминия, который обуславливает невосприимчивость к разрушительному воздействию кислот;
- Соли бария, которые обеспечивают видимость пломбы на рентгеновских снимках.
В отличие от пломб из светоотверждаемого композита, конструкции из СИЦ стоят в разы дешевле. Срок их службы составляет от 10-ти до 15-ти лет. Другие преимущества:
- Отличные прочностные характеристики, высокая твёрдость;
- Простота применения/высокая скорость изготовления реставрации;
- Равномерное затвердевание, независимо от размеров и глубины кариозной полости;
- Невосприимчивость к воздействию слюны и кислот;
- Минимальный риск растрескивания пломбы;
- Минимальная усадка: не более 3,5%.
Этапы наложения постоянной пломбы «Эврикол»
Соблюдение технологических процессов обуславливает срок службы пломбы и исключает осложнения. Этапы:
- Обработка кариозной полости раствором полиакриловой кислоты для наилучшего просушивания, обезжиривания и надёжной адгезии;
- Замешивание состава до обретения им пастообразной консистенции;
- Изоляция зубной единицы коффердамом для исключения попадания влаги на обрабатываемые поверхности;
- Нанесение материала и его первичное застывание, нанесение изолирующего лака, исключающего попадание влаги.
Важно: полирование пломбы из стеклоиономерного цемента проводят через одни сутки – не раньше. Нужно, чтобы она полностью затвердела. Через пару недель после установки материал потемнеет, по этой причине следует использовать более светлые его оттенки.
Врачи выполняющие данную процедуру
Отзывы пациентов
Все отзывыУслуги по направлению Стоматология
-
Общие услуги
-
Визиографическое исследование зуба
370 ₽ -
Анестезия инфильтрационная / проводниковая в стоматологии
1.200 ₽ -
Аппликационная анестезия в стоматологии
200 ₽ -
Использование коффердам для изоляции полости рта
1.500 ₽ -
Использование резиновой завесы для изоляции полости рта (оптрагейт)
600 ₽ -
Коррекция съемного ортопедического протеза
1.700 ₽ -
Ортопантомография (с выдачей результатов на CD-диске)
2.000 ₽ -
Плановый осмотр на этапе ортодонтического лечения
1.500 ₽ -
Прием (осмотр, консультация) врача-ортодонта первичный
2.000 ₽ -
Прием (осмотр, консультация) врача-ортодонта повторный
500 ₽ -
Прием (осмотр, консультация) врача-стоматолога детского первичный
1.000 ₽ -
Прием (осмотр, консультация) врача-стоматолога детского повторный
500 ₽ -
Прием (осмотр, консультация) врача-стоматолога-ортопеда первичный
1.000 ₽ -
Прием (осмотр, консультация) врача-стоматолога-ортопеда повторный
500 ₽ -
Прием (осмотр, консультация) врача-стоматолога-терапевта первичный
1.000 ₽ -
Прием (осмотр, консультация) врача-стоматолога-терапевта повторный
500 ₽ -
Прием (осмотр, консультация) врача-стоматолога-хирурга первичный
1.000 ₽ -
Прием (осмотр, консультация) врача-стоматолога-хирурга повторный
500 ₽ -
Прием (осмотр, консультация) врача-стоматолога-хирурга с составлением плана лечения по имплантации
2.000 ₽ -
Прием по рекламации
100 ₽ -
Радиовизиография (серийное исследование одного зуба) - одно исследование
320 ₽
-
-
Пародонтология
-
Антисептическая обработка одного патологического зубодесневого кармана
450 ₽ -
Апликация лекарственных веществ (1-2 зуба)
400 ₽ -
Апликация лекарственных веществ (1-2 зуба)
400 ₽ -
-
Введение лекарственных препаратов в пародонтальный карман
1.000 ₽ -
Введение лекарственных препаратов в пародонтальный карман
1.000 ₽ -
Вскрытие и дренирование абсцесса полости рта (пародентального абсцесса)
1.200 ₽ -
Гидроорошение при заболевании полости рта и зубов (гидромассаж - 1 процедура)
300 ₽ -
Закрытый кюретаж в области зуба с выравниванием поверхности и полировкой (1 зуб)
2.400 ₽ -
Закрытый кюретаж при заболеваниях пародонта в области зуба (1 зуб)
700 ₽ -
Избирательное пришлифовка зуба (1 зуб)
400 ₽ -
7.500 ₽
-
-
Лоскутная операция в полости рта в области одного зуба
2.000 ₽ -
Наложение наддесневой повязки, пленки - 1 квадрант
450 ₽ -
Обработка аппаратом Vector Paro Pro зубов всей полости рта
18.000 ₽ -
Обработка аппаратом Vector Paro Pro зубов всей полости рта, повторная
8.000 ₽ -
Обработка аппаратом Vector Paro Pro пародонтального кармана (1 зуба)
950 ₽ -
Открытый кюретаж при заболеваниях пародонта в области зуба
900 ₽ -
Пластика альвеолярного отростка (с применением коллапана)
1.000 ₽ -
3.000 ₽
-
Ретракция гипертрофированной десны в области одного зуба
600 ₽ -
Шинирование зубов прямое с использованием волоконных адгезивных систем (1 зуб)
4.100 ₽
-
-
Хирургическая стоматология
-
Аппликация лекарственного препарата на слизистую оболочку полости рта (после хирургического вмешательства)
300 ₽ -
10.000 ₽
-
Вправление вывиха нижней челюсти
2.000 ₽ -
Вскрытие и дренирование абсцесса полости рта (маргинального)
1.500 ₽ -
Вскрытие подслизистого или поднадкостничного очага воспаления в полости рта (лечение периостита)
2.500 ₽ -
2.600 ₽
-
1.200 ₽
-
Закрытие перфорации стенки корневого канала зуба (МТА)
6.500 ₽ -
-
Использование коллагена высокой плотности PARASORB CONE для сохранения объема костной ткани
1.800 ₽ -
Коррекция объема и формы альвеолярного отростка
2.500 ₽ -
Лечение перикоронарита медикаментозное
1.000 ₽ -
Лечение перикоронита (промывание, рассечение и/или иссечение капюшона)
3.000 ₽ -
Медикаментозное лечение альвеолита
600 ₽ -
Наложение повязки при операциях в полости рта «альвостаз»
700 ₽ -
Наложение повязки при операциях в полости рта «неоконес»
700 ₽ -
Наложение шва на слизистую оболочку рта (один микрохирургический шов)
500 ₽ -
Наложение шва на слизистую оболочку рта (один шов)
500 ₽ -
Операция удаления дистопированного зуба 2-степени
15.000 ₽ -
Операция удаления ретинированного зуба 2-степени
10.000 ₽ -
1.000 ₽
-
Отсроченный кюретаж лунки удаленного зуба
1.500 ₽ -
Перевязка после хирургического вмешательства в полости рта
500 ₽ -
Перфорация верхнечелюстной пазухи
-
Пластика перфорации верхнечелюстной пазухи
7.500 ₽ -
Пломбирование корневого канала зуба (ретроградное - МТА)
9.000 ₽ -
Резекция верхушки корня (жевательная группа)
9.500 ₽ -
Резекция верхушки корня (фронтальная группа)
7.000 ₽ -
Снятие послеоперационных швов (лигатур) в стоматологии
600 ₽ -
-
Удаление зуба сложное (3 степени сложности, анкилозированные зубы)
7.000 ₽ -
Удаление зуба сложное с разъединением корней (2 степени сложности)
4.400 ₽ -
Удаление зуба сложное с сохранением анатомии и пластикой дефекта для последующей имплантации
10.000 ₽ -
-
-
-
-
Удаление постоянного зуба (1 степень сложности)
2.200 ₽ -
Удаление ретинированного зуба 1-степени
5.500 ₽ -
Удаление экзостоза в области 1 зуба
1.500 ₽ -
Хирургическая обработка раны или инфицированной ткани в полости рта
400 ₽ -
2.800 ₽
-
6.000 ₽
-
-
Имплантация
-
10.000 ₽
-
Внутрикостная дентальная имплантация (раскрытие импланта и установка формирователя десны ASTRATECH)
8.000 ₽ -
Внутрикостная дентальная имплантация (раскрытие импланта и установка формирователя десны INNO)
5.000 ₽ -
Внутрикостная дентальная имплантация (установка импланта MIS)
22.500 ₽ -
Восковое моделирование для имплантаций
8.500 ₽ -
-
Костная пластика верхней и нижней челюсти
-
Ортодонтическая коррекция (установка ортодонтического импланта)
20.000 ₽ -
Ортодонтические импланты (ортоимплантаты)
-
-
Пластика альвеолярного отростка (изготовление и применение PRF-мембраны)
3.300 ₽ -
Пластика альвеолярного отростка (костный материал BIO-OSS)
14.000 ₽ -
Пластика альвеолярного отростка (костный материал Остеоматрикс)
6.300 ₽ -
Пластика альвеолярного отростка (мембрана BIO-GUIDE PERIO)
18.700 ₽ -
Пластика альвеолярного отростка (мембрана Остеоматрикс)
9.300 ₽ -
Пластика альвеолярного отростка (простая - малая регенерация)
7.500 ₽ -
Пластика альвеолярного отростка (сложная - мембрана)
25.000 ₽ -
Пластика альвеолярного отростка (сложная, блок)
35.000 ₽ -
Пластика альвеолярного отростка (сложная, винир)
55.000 ₽ -
Пластика мягких тканей (простая в области 1 зуба)
10.000 ₽ -
Пластика мягких тканей (сложная 2-3 зубов)
15.000 ₽ -
-
Протезирование зуба с использованием имплантата (установка импланта ASTRATECH (Osseospeed))
55.000 ₽ -
Протезирование зуба с использованием имплантата (установка импланта INNO)
35.000 ₽ -
Синус-лифтинг (костная пластика, остеопластика) - закрытый (мягкий)
15.000 ₽ -
Синус-лифтинг (костная пластика, остеопластика) - классический
35.000 ₽ -
Синус-лифтинг перед имплантацией
-
Снятие оттиска с одной челюсти (диагностические слепки для имплантаций)
3.500 ₽ -
Транспозиция нерва (нижнеальвеолярного)
46.000 ₽ -
-
Удаление импланта, трансплантата (дентального импланта, установленного в ЦЭЛТ)
2.000 ₽ -
5.000 ₽
-
Удаление импланта, трансплантата (дентального импланта, установленного не в ЦЭЛТ - II категория сложности)
10.000 ₽ -
Шаблон для имплантаций
15.000 ₽
-
-
Ортопедическая стоматология
-
-
Восстановление зуба коронкой (временная фиксация коронки, изготовленной в другой клинике)
1.000 ₽ -
Временные коронки на зуб или имплант
-
Изготовление (винир, вкладка окклюзионная)
49.500 ₽ -
Изготовление армирование протеза
8.000 ₽ -
Изготовление балочной конструкции с винтовой фиксацией на имплантах
330.000 ₽ -
Изготовление вкладки культевой из драг. сплава (без стоимости метала)
20.000 ₽ -
Изготовление вкладки культевой из драг. сплава разборной (без стоимости метала)
23.000 ₽ -
Изготовление вкладки культевой керамической (оксид циркония)
28.000 ₽ -
Изготовление вкладки культевой облицованной керамикой
14.300 ₽ -
Изготовление вкладки культевой с аттачменом «Bredent»
15.600 ₽ -
Изготовление вкладки культевой цельнолитой разборной
9.000 ₽ -
Изготовление вкладки цельнолитой культевой
7.000 ₽ -
Изготовление диагностической модели из гипса
1.000 ₽ -
Изготовление диагностической модели из супергипса
4.200 ₽ -
Изготовление индивидуальной ложки
3.500 ₽ -
Изготовление индивидуальной ложки для конструкции на имплантах
7.000 ₽ -
Изготовление керамической десны
3.000 ₽ -
Изготовление коронки временной на импланте (прямой метод)
9.300 ₽ -
Изготовление коронки металлокерамической (на драг. сплаве (без стоимости метала)
30.000 ₽ -
Изготовление коронки металлокерамической (элит)
28.700 ₽ -
Изготовление коронки металлокерамической на импланте «AstraTech» (винтовая фиксация)
54.000 ₽ -
Изготовление коронки металлокерамической на импланте «AstraTech» (цементная фиксация)
46.000 ₽ -
Изготовление коронки металлокерамической на импланте «Inno» (винтовая фиксация)
48.000 ₽ -
Изготовление коронки телескопической (вторичная)
19.800 ₽ -
Изготовление коронки телескопической (первичная)
19.800 ₽ -
Изготовление коронки цельнолитой (кобальт-хромовый сплав)
8.200 ₽ -
Изготовление коронки цельнолитой из драг. (спец.) сплава (без стоимости метала)
19.000 ₽ -
Изготовление полного съемного протеза на имплантах (армированный)
135.000 ₽ -
Изготовление полного съемного пластинчатого протеза «Ивокрил»
50.000 ₽ -
Изготовление полного съемного пластинчатого протеза «Эстедент»
40.000 ₽ -
Изготовление полного съемного протеза до удаления зубов
42.000 ₽ -
Изготовление полного съемного протеза на имплантах
70.000 ₽ -
Изготовление полного съемного протеза с фиксацией на замковых соединениях «Bredent»
52.000 ₽ -
Изготовление прикусного шаблона
3.200 ₽ -
Изготовление прикусного шаблона на жестком базисе
4.900 ₽ -
Изготовление протеза на имплантах с балочным креплением
260.000 ₽ -
Изготовление протеза на имплантах с телескопической конструкцией
260.000 ₽ -
Изготовление условно-съемного протеза на 4-имплантах
260.000 ₽ -
Изготовление условно-съемного протеза на 6-имплантах
300.000 ₽ -
Изготовление хирургического шаблона
32.000 ₽ -
Изготовление частичного съемного протеза 4 – 13 зубов «Ивокрил»
50.000 ₽ -
Изготовление частичного съемного протеза 4 – 13 зубов «Эстедент»
32.000 ₽ -
Изготовление частичного съемного протеза до трех зубов «Ивокрил»
30.000 ₽ -
Изготовление частичного съемного протеза до трех зубов «Эстедент»
14.300 ₽ -
Изготовление частичного съемного протеза иммедиат-протез до удаления зубов
32.000 ₽ -
Изготовление штифтовой конструкции (фрикционный штифт)
12.000 ₽ -
Использование десневой массы
3.000 ₽ -
Использование индивидуального абатмент из оксида циркония
25.000 ₽ -
Использование ретракционной нити
500 ₽ -
Использование стандартного абатмента «Inno»
14.300 ₽ -
Использование стандартного абатмента ASTRATECH
35.000 ₽ -
Каппа для отбеливания на 1 челюсть
7.500 ₽ -
-
-
-
Коронка временная (изготовленная в лаборатории)
5.500 ₽ -
Коронка временная (изготовленная прямым методом)
3.600 ₽ -
25.000 ₽
-
Коронка керамическая на оксиде циркония
40.000 ₽ -
Коронка металлокерамическая (эконом)
12.000 ₽ -
Коронка металлокерамическая с плечевой массой
19.400 ₽ -
-
-
Коррекция съемной ортопедической конструкции (замена пластиковой матрицы в бюгельном протезе)
6.000 ₽ -
Мягкая подкладка для съемного протеза (временная)
10.000 ₽ -
Несъемное протезирование зубов
-
Перебазировка съемного протеза лабораторным методом, изготовленного в другой клинике или по окончании срока гарантии
13.000 ₽ -
-
Пластмассовые бюгельные протезы
-
Постоянная фиксация коронки (изготовленной в другой клинике)
2.000 ₽ -
Починка съёмного протеза
9.500 ₽ -
Приварка зуба (1 – 2 зубов)
11.000 ₽ -
Приварка одного кламмера
11.000 ₽ -
54.000 ₽
-
-
Протезирование зубов на имплантах
-
Протезирование съемными бюгельными протезами «Кватротти»
50.000 ₽ -
Протезирование съемными бюгельными протезами (двусторонний с замками)
93.000 ₽ -
Протезирование съемными бюгельными протезами (двусторонний с использованием замков «Bredent»)
75.000 ₽ -
Протезирование съемными бюгельными протезами (с базисом из нейлона)
62.500 ₽ -
Протезирование съемными бюгельными протезами (стандарт)
65.500 ₽ -
Протезирование съемными бюгельными протезами (шинирующий)
57.000 ₽ -
Протезирование съемными бюгельными протезами на телескопических коронках
162.000 ₽ -
-
-
Снятие металло-штампованной коронки
800 ₽ -
Снятие металлокерамической, цельнолитой коронки
2.000 ₽ -
Снятие оттиска с одной челюсти (двухслойного слепка)
1.800 ₽ -
Снятие оттиска с одной челюсти (слепок альгинатной массой)
1.000 ₽ -
Фрезерование коронки под бюгельный протез)
10.000 ₽ -
Цельнокерамические коронки «e.max»
-
-
Эстетическое моделирование «wax-up» (1 единица)
6.600 ₽
-
-
Лечение на элайнерах
-
Внутриротовое сканирование
8.000 ₽ -
Компьютерное 3D моделирование 1-ый платеж (для всех категорий сложности)
50.000 ₽ -
Лечение на элайнерах двух челюстей (I категория сложности) 3-ой платеж
40.000 ₽ -
Лечение на элайнерах двух челюстей (I категория сложности) 4-ой платеж
40.000 ₽ -
Лечение на элайнерах двух челюстей (I категория сложности) 5-ой платеж
40.000 ₽ -
Лечение на элайнерах двух челюстей (II категория сложности) 3-ой платеж
60.000 ₽ -
Лечение на элайнерах двух челюстей (II категория сложности) 4-ой платеж
60.000 ₽ -
Лечение на элайнерах двух челюстей (II категория сложности) 5-ой платеж
60.000 ₽ -
Лечение на элайнерах двух челюстей (I категория сложности, при одномоментной оплате стоимости лечения)
255.000 ₽ -
Лечение на элайнерах двух челюстей (I категория сложности) 2-ой платеж
95.000 ₽ -
Лечение на элайнерах двух челюстей (II категория сложности, при одномоментной оплате стоимости лечения)
345.000 ₽ -
Лечение на элайнерах двух челюстей (II категория сложности) 2-ой платеж
125.000 ₽ -
Лечение на элайнерах двух челюстей (III категория сложности, при одномоментной оплате стоимости лечения)
390.000 ₽ -
Лечение на элайнерах двух челюстей (III категория сложности) 2-ой платеж
166.000 ₽ -
Лечение на элайнерах двух челюстей (III категория сложности) 3-ой платеж
63.000 ₽ -
Лечение на элайнерах двух челюстей (III категория сложности) 4-ой платеж
63.000 ₽ -
Лечение на элайнерах двух челюстей (III категория сложности) 5-ой платеж
63.000 ₽ -
Лечение на элайнерах одной челюсти (I категория сложности, при одномоментной оплате стоимости лечения)
195.000 ₽ -
Лечение на элайнерах одной челюсти (I категория сложности) 2-ой платеж
65.000 ₽ -
Лечение на элайнерах одной челюсти (I категория сложности) 3-ой платеж
30.000 ₽ -
Лечение на элайнерах одной челюсти (I категория сложности) 4-ой платеж
30.000 ₽ -
Лечение на элайнерах одной челюсти (I категория сложности) 5-ой платеж
30.000 ₽ -
Лечение на элайнерах одной челюсти (II категория сложности, при одномоментной оплате стоимости лечения)
285.000 ₽ -
Лечение на элайнерах одной челюсти (II категория сложности) 2-ой платеж
95.000 ₽ -
Лечение на элайнерах одной челюсти (II категория сложности) 3-ой платеж
50.000 ₽ -
Лечение на элайнерах одной челюсти (II категория сложности) 4-ой платеж
50.000 ₽ -
Лечение на элайнерах одной челюсти (II категория сложности) 5-ой платеж
50.000 ₽ -
Лечение на элайнерах одной челюсти (III категория сложности, при одномоментной оплате стоимости лечения)
315.000 ₽ -
Лечение на элайнерах одной челюсти (III категория сложности) 2-ой платеж
125.000 ₽ -
Лечение на элайнерах одной челюсти (III категория сложности) 3-ой платеж
50.000 ₽ -
Лечение на элайнерах одной челюсти (III категория сложности) 4-ой платеж
50.000 ₽ -
Лечение на элайнерах одной челюсти (III категория сложности) 5-ой платеж
50.000 ₽ -
55.000 ₽
-
Ортодонтическая коррекция двух челюстей съёмным ортодонтическим аппаратом элайнером (начальный, промежуточный и окончательный этап) (без стоимости аппаратуры)
165.000 ₽ -
Ортодонтическая коррекция двух челюстей съёмным ортодонтическим аппаратом элайнером (окончательный этап) (без стоимости аппаратуры)
55.000 ₽ -
Ортодонтическая коррекция двух челюстей съёмным ортодонтическим аппаратом элайнером (промежуточный этап) (без стоимости аппаратуры)
55.000 ₽ -
Ортодонтическая коррекция одной челюсти съёмным ортодонтическим аппаратом элайнером (начальный, промежуточный и окончательный этап) (без стоимости аппаратуры)
99.000 ₽ -
6.000 ₽
-
Ортодонтическая коррекция съемным ортодонтическим аппаратом. Изготовление суставной шины (сплинт)
37.500 ₽ -
Ортодонтическая коррекция съемным ортодонтическим аппаратом. Использование системы АquАsplint/АquАlizer для функциональной диагностики дисфункции височно-нижнечелюстного сустава
16.500 ₽ -
Ортодонтическая коррекция съемным ортодонтическим аппаратом. Плановые посещения при лечении дисфункции височно-нижнечелюстного сустава
37.500 ₽
-
-
Лечение кариеса
-
Восстановление зуба (коронковой части) пломбой (долгосрочная временная реставрация)
3.000 ₽ -
Восстановление зуба вкладками, виниром, полукоронкой (композитный винир)
8.000 ₽ -
Восстановление зуба пломбой из светоотверждаемого композита (1-поверхности)
4.500 ₽ -
Восстановление зуба пломбой из светоотверждаемого композита (2-поверхности)
5.500 ₽ -
Восстановление зуба пломбой из светоотверждаемого композита (3-поверхности)
6.500 ₽ -
Восстановление зуба пломбой из стеклоиономерного цемента
2.000 ₽ -
Восстановление зуба под ортопедическую реставрацию
8.500 ₽ -
Восстановление коронковой части зуба:
-
Инфильтрационная анестезия зубов
-
Лечебная прокладка при лечении глубокого кариеса
-
Лечение глубокого кариеса
3.700 ₽ -
Лечение кариеса методом ICON (1 зуб)
4.000 ₽ -
Лечение поверхностного кариеса
1.700 ₽ -
2.700 ₽
-
550 ₽
-
Наложение временной пломбы (светоотверждаемая)
1.300 ₽ -
Наложение лечебной прокладки при лечении кариеса
700 ₽ -
Пломба из композита химического отверждения
-
Пломба из светоотверждаемого композита
-
-
400 ₽
-
9.800 ₽
-
-
Детская стоматология (до 14 лет)
-
Восстановление зуба композитной пломбой
4.000 ₽ -
Восстановление зуба коронкой (для передних временных зубов)
6.000 ₽ -
-
Гигиеническая чистка зубов при молочном прикусе
2.000 ₽ -
Гигиеническая чистка зубов при сменном прикусе
4.000 ₽ -
Использование коффердама
1.000 ₽ -
-
-
Лечение вирусного, гнойного, афтозного и острого стоматита у детей
-
-
-
-
Лечение осложненного кариеса (пульпита) временного зуба (анестезия, использование коффердама, постановка пломбы)
10.000 ₽ -
Лечение осложненного кариеса (пульпита) временного зуба с постановкой светоотверждаемой пломбы
8.000 ₽ -
Лечение осложненного кариеса (пульпита) временногог зуба (анестезия, использование коффердама, постановка коронки)
15.000 ₽ -
-
-
Лечение среднего кариеса (анестезия, использование матрицы, постановка пломбы)
5.500 ₽ -
8.000 ₽
-
8.000 ₽
-
10.000 ₽
-
Пломбирование корневого канала временного зуба
4.000 ₽ -
Пломбирование корневого канала зуба пастой (апексификация с наложением временной пломбы (1 канал)
2.000 ₽ -
Репозиция зубов
900 ₽ -
-
Удаление временного зуба (сложное) с анестезией
5.000 ₽ -
Удаление временного зуба с анестезией
3.500 ₽ -
Удаление молочных и коренных зубов у детей
-
Установка изолирующей прокладки «ВИТРИБОНД»
800 ₽
-
-
Эндодонтическое лечение
-
Временное пломбирование лекарственным препаратом корневого канала
1.300 ₽ -
Диагностическое эндонтическое лечение
2.100 ₽ -
Закрытие перфорации с применением МТА
3.500 ₽ -
Медикаментозная обработка корневого канала (1 канал)
1.000 ₽ -
Механическая и медикаментозная обработка каналов (1 канал)
2.600 ₽ -
Наложение девитализирующей пасты
700 ₽ -
4.500 ₽
-
Пломбирование корневого канала зуба (методом латеральной конденсации)
2.600 ₽ -
Распломбировка корневого канала ранее леченного, простая (1 канал)
1.700 ₽ -
Распломбировка корневого канала ранее леченного, сложная (1 канал)
2.200 ₽ -
Ревизия корневого канала (1 канал)
1.600 ₽ -
Удаление внутриканального штифта/вкладки
2.100 ₽ -
Удаление зуба (подвижной стенки)
1.200 ₽ -
Удаление инородного тела (из корневого канала)
4.000 ₽ -
Фиксация внутриканального штифта/вкладки (стекловолоконный)
3.500 ₽ -
Фиксация титанового/анкерного штифта
1.000 ₽ -
-
-
Гигиена, профилактика
-
2.000 ₽
-
Домашняя система отбеливания зубов
-
Изготовление контрольной модели (прикусного шаблона)
1.500 ₽ -
Изготовление одночелюстного съемного аппарата (простой)
22.000 ₽ -
Изготовление одночелюстного съемного аппарата (сложный)
24.000 ₽ -
Комплексная гигиеническая чистка зубов (спецпредложение). Подбор индивидуальных гигиенических средств
4.600 ₽ -
Комплексная гигиеническая чистка зубов всей полости рта (плановый визит)
7.600 ₽ -
Комплексная гигиеническая чистка зубов. Подбор индивидуальных гигиенических средств
10.000 ₽ -
Коррекция и активация съемного пластинчатого аппарата
1.500 ₽ -
Коррекция прикуса с использованием съемных и несъемных ортопедических конструкций (двучелюстной аппарат типа трейнер)
20.000 ₽ -
Коррекция прикуса с использованием съемных и несъемных ортопедических конструкций (двучелюстной съемный аппарат TWIN BLOCK)
44.000 ₽ -
Коррекция прикуса с использованием съемных и несъемных ортопедических конструкций (капа от/при стирании зубов)
10.000 ₽ -
Лечение гиперчувствительности (1 зуб)
700 ₽ -
Определение конструктивного прикуса
1.500 ₽ -
Ортодонтическая коррекция (каппа ретенционная)
9.000 ₽ -
Ортодонтическая коррекция (пластина ретенционная)
12.000 ₽ -
Ортодонтическая коррекция (разгружающая каппа-сплинт)
15.000 ₽ -
Покрытие фторсодержащим лаком (1 зуб)
250 ₽ -
Покрытие фторсодержащим средством (1 зубной ряд)
1.500 ₽ -
1.200 ₽
-
150 ₽
-
Профессиональная гигиена полости рта и зубов "AIR-FLOW" (1 зубной ряд)
2.800 ₽ -
Профессиональное отбеливание зубов (внутрикоронковое - 1 зуб)
3.500 ₽ -
Профессиональное отбеливание зубов Opalescence BOOST
18.000 ₽ -
6.500 ₽
-
Процедура глубокого фторирования зубов фторсодержащим гелем на каппах
1.900 ₽ -
Ремонт ортодонического аппарата (съемного)
8.000 ₽ -
Снятие твердых зубных отложений ультразвуковым аппаратом (1 зуб)
350 ₽ -
Снятие, постановка коронки, кольца ортодонтических (сохранителя места для прорезания зуба)
12.000 ₽ -
Удаление зубных отложений (1 зубной ряд) ультразвуком
2.600 ₽ -
Удаление зубных отложений с одного зуба ультразвуком
350 ₽ -
Ультразвуковое снятие зубных отложений
-
-
Ортодонтическая стоматология (диагностика)
-
Исследование на диагностических моделях челюстей
1.000 ₽ -
Комплексная ортодонтическая диагностика
10.000 ₽ -
Расчет прогноза лечения на диагностических моделях (Set-up)
2.800 ₽ -
-
Установка моделей в артикулятор
1.500 ₽
-
-
Лечение несъемной техникой (без учета стоимости брекет-систем)
-
Керамический брекет при заказе
7.000 ₽ -
Металлический брекет при заказе
3.500 ₽ -
Ортодонтическая коррекция (посещение в ретенционный период)
1.000 ₽ -
Ортодонтическая коррекция (снятие ретейнера и очистка от остатков материала)
4.000 ₽ -
Ортодонтическая коррекция несъемным ортодонтическим аппаратом (аппарат для исправления дистального прикуса - Forsus/Гербста)
30.000 ₽ -
Ортодонтическая коррекция несъемным ортодонтическим аппаратом (несъемный ретейнер на 4-6 зубов)
13.000 ₽ -
Ортодонтическая коррекция несъемным ортодонтическим аппаратом (установка аппарата быстрого небного расширения)
40.000 ₽ -
Ортодонтическая коррекция с применением брекет-систем (керамическая брекет-система Clarity Advanced 3M - 1 зубной ряд)
40.000 ₽ -
Ортодонтическая коррекция с применением брекет-систем (керамическая самолигирующаяся брекет-система Damon Clear - 1 зубной ряд)
64.000 ₽ -
Ортодонтическая коррекция с применением брекет-систем (лечение аномалий прикуса в области верхней или нижней челюсти, фиксация брекет системы)
25.000 ₽ -
Ортодонтическая коррекция с применением брекет-систем (лечение аномалий прикуса в области одного сектора челюсти, фиксация брекет системы)
40.000 ₽ -
Ортодонтическая коррекция с применением брекет-систем (лечение аномалий прикуса с использованием брекет системы, фиксация брекет системы - I категория сложности)
40.000 ₽ -
Ортодонтическая коррекция с применением брекет-систем (лечение аномалий прикуса с использованием брекет системы, фиксация брекет системы - II категория сложности)
40.000 ₽ -
Ортодонтическая коррекция с применением брекет-систем (лечение аномалий прикуса с использованием брекет системы, фиксация брекет системы - II категория сложности) - ежемесячное плановое посещение (курс 10 месяцев)
8.000 ₽ -
Ортодонтическая коррекция с применением брекет-систем (лечение аномалий прикуса с использованием брекет системы, фиксация брекет системы - III категория сложности)
40.000 ₽ -
Ортодонтическая коррекция с применением брекет-систем (лечение аномалий прикуса с использованием брекет системы, фиксация брекет системы - III категория сложности) - ежемесячное плановое посещение (курс 10 месяцев)
13.000 ₽ -
Ортодонтическая коррекция с применением брекет-систем (лечение аномалий прикуса с использованием брекет системы, фиксация брекет системы - IV категория сложности)
40.000 ₽ -
Ортодонтическая коррекция с применением брекет-систем (лечение аномалий прикуса с использованием брекет системы, фиксация брекет системы - IV категория сложности) - ежемесячное плановое посещение (курс 12 месяцев)
16.000 ₽ -
Ортодонтическая коррекция с применением брекет-систем (металлическая брекет-система Victory 3M - 1 зубной ряд)
25.000 ₽ -
Ортодонтическая коррекция с применением брекет-систем (металлическия самолигирующаяся брекет-система Damon Q - 1 зубной ряд)
52.000 ₽ -
Ортодонтическая коррекция с применением брекет-систем (прием в активном периоде лечения без замены дуги)
3.500 ₽ -
Ортодонтическая коррекция с применением брекет-систем (прием в активном периоде лечения с заменой дуги)
6.800 ₽ -
Ортодонтическая коррекция с применением брекет-систем (снятие 1 брекета)
1.000 ₽ -
Ортодонтическая коррекция с применением брекет-систем (снятие брекет-системы - 1 зубной ряд)
15.000 ₽ -
Ортодонтическая коррекция с применением брекет-систем (фиксация 1 брекета)
2.500 ₽ -
Ортодонтическая коррекция с применением брекет-систем (фиксация брекет-системы на 1 зубной ряд)
25.000 ₽ -
Ортодонтическая коррекция с применением брекет-систем (фиксация кнопки, кольца)
1.800 ₽ -
Ортодонтическая коррекция с применением брекет-систем (фиксация одного брекета пациенту, не проходящему лечение в ЦЭЛТ)
5.300 ₽ -
Ортодонтическая коррекция съемным ортодонтическим аппаратом (установка внеротовой техники - губной бампер, лицевая дуга)
10.000 ₽ -
Ремонт ортодонического аппарата (ретейнера в области 1 зуба.)
2.000 ₽ -
Установка аппарата быстрого небного расширения (Арарат Марко-России, Хаас, RME)
35.000 ₽ -
Фотопротокол диагностики и динамики лечения
1.000 ₽
-
-
Диагностика
Почему нам доверяют?
-
Более 30 лет активной работы
Опыт позволяет нам находить решения даже в самых нестандартных случаях.
-
Более 100.000 сложнейших операций
Наши врачи умеют работать там, где требуется высочайшая точность и внимание.
-
Научная деятельность
Наши врачи ведут научную работу и внедряют новые методы лечения.
Запись на прием
Запишитесь к интересующему вас специалисту
Выбрать специалиста